Ортодонтія у Києві
Стоматологія “Інтерстом” на Шулявці
Ортодонтія – розділ стоматології спрямований на виправлення патології прикусу (як положення окремих зубів, так і всієї зубощелепної системи в цілому).
Помилково вважати, що ортодонтія відноситься виключно до естетичної стоматології, адже неправильний прикус найчастіше призводить до порушення функцій травної системи, неправильної постави, головного болю.
Таким чином, навіть за наявності візуально рівних зубів, у пацієнта можуть бути показання до ортодонтичного лікування. Ортодонтичне лікування проводить ортодонт, також до виправлення прикусу може бути залучений стоматолог-хірург.
Для виправлення прикусу використовується величезна кількість систем, але вони діляться на дві основні групи: знімні і незнімні. У лікуванні можуть використовуватися як одні, так і другі, залежно від показань, а також їх поєднання . Ортодонтичне лікування досить тривале і в середньому триває близько двох років, в залежності від ступеня деформації та віку пацієнта.
Чому важливо вирівнювання прикусу?
Вирівнювання прикусу — це процес корекції неправильного положення зубів і щелеп за допомогою ортодонтичних методів, таких як брекети (металеві, керамічні, сапфірові, лінгвальні), елайнери (прозорі капи), а також ортодонтичні пластинки, трейнери або хірургічне втручання. Мета — покращити функціональність, естетику та загальне здоров’я ротової порожнини.
Неправильно розташовані зуби, крім естетичних недоліків, викликають ще й проблеми зі здоров’ям. У проміжках між зубами утворюються камені та неправильні зубоясенні кишені, що призводить до запалення ясен – пародонтиту. Через ротову порожнину мікроби вільно проникають у шлунково-кишковий тракт, і часто стають причиною багатьох хронічних захворювань. Виправлення прикусу сприятливо позначається і на формі обличчя – після закінчення лікування покращується форма вилиць і підборіддя. Ортодонтичне лікування є важливим кроком на шляху покращення зовнішності та впевненості у собі.
Крім того, за статистикою 70% дітей та підлітків до 14 років потребують ортодонтичного лікування. Проблеми прикусу, залишені поза увагою у дитячому віці, з великою ймовірністю призведуть до серйозних аномалій у дорослого. Саме тому займатися діагностикою та виправленням прикусу рекомендується з раннього віку. Чим раніше буде виявлено проблему, тим швидше та ефективніше буде її лікування.
Своєчасний візит до ортодонта допоможе вашій дитині на шляху до красивої та здорової посмішки, а також дозволить уникнути тривалого, складного та дорогого лікування в майбутньому.
Переваги ортодонтії у стоматології «Інтерстом»
Кваліфіковані ортодонти у Києві, брекети, елайнери найвищої якості
Висока якість
Ми використовуємо найсучасніші ортодонтичні конструкції, брекети, елайнери
Сучасна діагностика
Наше обладнання дозволяє точно оцінити стан і спланувати лікування
Кваліфіковані спеціалісти
Найкращі ортодонти у Києві, справжні професіонали у своїй справі
Індивідуальні рішення
Ми підбираємо для кожного пацієнта найбільш оптимальні рішення саме для нього
Прозора ціна
Ми врахували все, щоб вартість послуги була прозора, зрозуміла та незмінна
Гарантія
Клініка надає гарантію на усі види ортодонтичних послуг
Коли потрібно вирівнювати зуби?
У дітей в віці 9-14 років, коли змінюються молочні зуби на постійні, що дозволяє спрямувати ріст зубів і щелепи
Для профілактики захворювань ротової порожнини, ШКТ, щелепних суглобів, головної болі та ін.
Для естетики, впевненності в собі та комфорту; корекції форми обличчя, осанки, і навіть, походки
Для чудової посмішки на довгі роки
Як проходить лікування
Ортодонтичне лікування досить тривале і в середньому триває близько двох років, залежно від ступеня деформації та віку пацієнта.
Протягом цього терміну відбувається постійний контакт між лікарем та пацієнтом. Систематично пацієнту потрібно приходити до клініки для того, щоб коригувати зміни в зубо-щелепній системі, а також робити обов’язкове професійне чищення зубів.
Лікар-ортодонт контролює стан зубів та ясен, так як під час лікування вони піддаються великому навантаженню, а елементарне недотримання гігієни ротової порожнини може звести до нуля всі результати ортодонтичного лікування. У процесі ортодонтичного лікування бере участь команда всіх спеціалістів-стоматологів на чолі з ортодонтом.
1. Первинна консультація та діагностика
Для початку ортодонтичного лікування потрібна підготовка – обстеження пацієнта, стану його зубів, детальний огляд ротової порожнини. За допомогою сучасного обладнання ми проводимо діагностику, аналіз стану прикусу та положення зубів.
2. Складання плану лікування
На основі зібраної інформації стоматолог-ортодонт підбирає найефективніший варіант вирівнювання зубів та прикусу, складає комплексний план лікування. Визначається тип ортодонтичних конструкцій (брекети, елайнери та ін.), розраховується вартість та тривалість лікування.
Також на даному етапі робляться знімки щелеп, на основі яких у подальшому будуть зроблені гіпсові моделі. Вони необхідні для виготовлення майбутніх ортодонтичних апаратів.
3. Підготовка та встановлення ортодонтичних конструкцій
До початку ортодонтичного етапу необхідно провести професійну гігієну порожнини рота та санацію: вилікувати карієс та інші стоматологічні захворювання, зробити професійне чищення зубів, видалення зубів, якщо це передбачено планом лікування.
На цьому етапі лікар встановлює пацієнту обраний апарат: проводить підготовку поверхні зубів, фіксацію ортодонтичних конструкцій. Також проходить інструктаж пацієнта щодо його дій під час носіння брекет-систем, догляду за ними, гігієни ротової порожнини, правильної техніки чищення зубів та ін.
4. Активний період вирівнювання зубів і моніторинг
Носіння кожного ортодонтичного апарату передбачає регулярні планові візити до клініки (зазвичай раз на 4-6 тижнів) для того, щоб стоматолог-ортодонт міг контролювати процес лікування та в разі потреби вносити необхідні корективи.
Для брекет-систем, наприклад, це може бути корекція положення брекетів, поступова зміна дуг для досягнення потрібного результату, за необхідності – використання додаткових елементів (еластичні тяги, пружини) для прискорення процесу.
На цьому етапі ортодонт проводить моніторинг прогресу: періодичне проведення контрольних знімків, оцінку змін у положенні зубів. За необхідністю відбувається коригування плану лікування.
5. Підтримка результату
Після закінчення ортодонтичного лікування важливо підтримати та зберегти на довгий термін його результат. Як правило, після зняття апаратів пацієнту призначається носіння спеціальних кап (нічних або денних, які треба надягати на кілька годин) або встановлюється ретейнер – тонкий металевий дріт, що фіксується на задній поверхні зубів.
Види ортодонтичних конструкцій
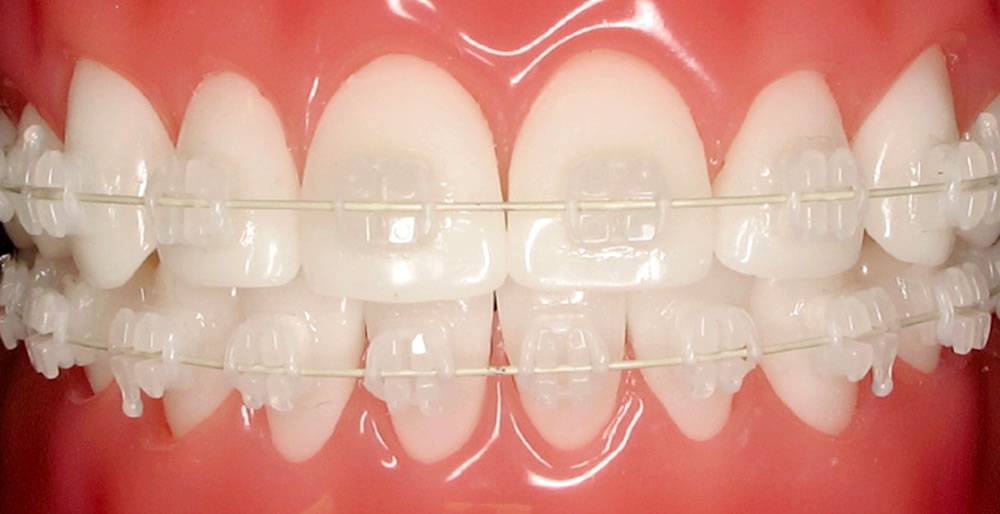
Брекети – один з найефективніших апаратів для виправлення прикусу у підлітків та дорослих. Брекети справляються з більшістю патологій та дають максимально ефективний результат лікування. Є кілька типів брекет-систем. До найпопулярніших відносяться металеві брекети. Найбільш естетичні варіанти – керамічні та сапфірові системи. Також можливе встановлення комбінованого типу брекетів: на верхній ряд зубів ставлять керамічні або сапфірові, на нижній, менш помітний – металеві. Комбіновані брекети – відмінний варіант поєднання естетики та більш доступної ціни.
Елайнери – ортодонтичні прозорі капи можуть бути альтернативою брекетам в деяких клінічних ситуаціях. Величезний плюс елайнерів – їхня прозорість. Капи непомітні на зубах і не доставляють пацієнтові жодного функціонального чи психологічного дискомфорту. На відміну від брекетів елайнери – знімний апарат: його виймають із порожнини рота під час їжи та вживання напоїв, а також при проведенні гігієнічних процедур.
Брекети чи елайнери?
Вибір між брекетами та елайнерами залежить від складності випадку, особистих уподобань та способу життя. Брекети більш ефективні для складних порушень прикусу і зазвичай доступніші за ціною, але менш естетичні і потребують особливого догляду.
Елайнери ідеальні для легких та середніх випадків, практично непомітні та знімаються для їжі та гігієни, але вимагають дисципліни в носінні та є дорожчими.
Типи брекетів по матеріалу:
Металеві брекети
Конструкції, виготовлені з металу, – класичне рішення для вирівнювання прикусу. Для їх виготовлення використовують медичну нержавіючу сталь, титан або сплав нікелю та титану.
Плюси:
- перевірена часом конструкція, міцна та довговічна;
- підходить для корекції складних дефектів, де потрібний значний натяг дуги;
- низький коефіцієнт тертя – це скорочує час лікування в середньому на 1-2 місяці;
- не потрібно складного догляду;
- ціна помітно менше, ніж у керамічних та сапфірових аналогів.
Мінуси:
- неестетичний вигляд, багато хто (особливо підлітки) соромиться брекетів;
- ймовірна алергія пацієнта на метал.
Керамічні брекети
Найбільш популярні естетичні системи роблять з керамічного матеріалу. Це полікристал оксиду алюмінію, колір якого близький до природного відтінку зубної емалі людини.
Плюси:
- більш естетичні ніж металеві брекети – вони не повністю непомітні, але не впадають у вічі, добре підходять тим, у кого не дуже світла емаль;
- хороша біосумісність – не викликають алергічних реакцій;
- найдоступніші за ціною серед моделей із високими естетичними показниками.
Мінуси:
- можуть змінювати колір під впливом барвників, що містяться в їжі та напоях, наприклад у каві та червоному вині;
- міцність менша в порівнянні з металевими, конструкції здатні розколотися через підвищене механічне навантаження;
- тривалість лікування збільшена через те, що сила тиску дуги не може бути дуже високою, інакше пластинки не витримають.
Сапфірові брекети
Такі брекети роблять із синтетичного сапфіру. Пластинки можуть бути напівпрозорими або зовсім прозорими, тому ортодонтична конструкція буде майже непомітною.
Плюси:
- хороші естетичні характеристики – незалежно від відтінку емалі пластинки на зубах майже непомітні, коли людина розмовляє чи посміхається;
- стійкість до харчових барвників – колір не змінюється, немає необхідності змінювати раціон;
- хімічна нейтральність – матеріал не провокує алергічні реакції;
- низький показник тертя дуги – за рахунок цього носіння буде комфортним;
- можна робити пластинки потрібного розміру, навіть мініатюрні – це дозволяє створювати системи для підлітків і людей з мікродентією, тобто для тих, хто має від природи маленькі зуби.
Мінуси:
- Головний мінус брекетів із штучного сапфіру – крихкість. Через це пацієнту потрібно бути особливо обережним при носінні: пластинки можуть зламатися при випадковому ударі, падінні.
- Низька міцність також означає, що не можна сильно натягнути ортодонтичну дугу. Тому сапфірові брекети використовують для корекції нескладних дефектів.
Композитні брекети
Для виготовлення незнімних ортодонтичних конструкцій застосовують композитні матеріали, у яких основним компонентом є пластик. Це недороге рішення, яке через крихкість та низьку ціну часто позиціонують як найбільш привабливе для підлітків та корекції найпростіших дефектів.
Плюси:
- головна перевага пластику – те, що цей матеріал можна пофарбувати в будь-який колір, як натуральний, так і яскравий, що часто приваблює підлітків у якості незвийчайного аксесуару;
-
низька ціна.
Мінуси:
- можливість використання лише на зовнішній поверхні зубів – їх не застосовують у лінгвальних конструкціях, що ставлять на внутрішні поверхні;
- зміна кольору під впливом харчових барвників або куріння;
- крихкість, через яку пластинки часто ламаються при носінні, не витримують сильного тиску дуги і можуть використовуватися тільки для виправлення нескладних проблем зубного ряду.
Комбіновані брекети
Комбіновані конструкції роблять із двох матеріалів, наприклад з металу та кераміки. Можна використовувати різні матеріали на різних зубних рядах або в зоні посмішки та осторонь неї. Це дає можливість поєднувати красу та міцність: наприклад, використовувати кераміку в зоні посмішки та метал по краях, де розташовуються жувальні зуби. Поєднання, які використовують особливо часто: метал + кераміка або метал + синтетичний сапфір.
Плюси:
- можливість використовувати переваги різних матеріалів, забезпечити гідну естетику без шкоди для міцності, надійності;
- економія грошей.
Мінуси:
- недоліком комбінованих брекетів є те, що таке ортодонтичне лікування може не призвести до очікуваного результату, а його тривалість може збільшитись;
- естетичні характеристики зберігаються лише за умови ретельного догляду.
Лігатурні та самолігуючі брекети
Різниця лігатурних та самолігуючих брекетів полягає у способі кріплення дуги. Лігатурні брекети утримують дугу за допомогою лігатур (гумок або дроту). Самолігуючі фіксують дугу вбудованою кришкою у самому брекеті.
При носінні лігатурних брекетів візити до стоматолгії потрібно робити частіше (приблизно раз на місяць), а лікування найчастіше довше. Для самолігуючих візити проводяться рідше (раз на 6-8 тижнів), зазвичай лікування проходить швидше і комфортніше.
Обидві системи бувають металевими та естетичними (кераміка або сапфір). У лігатурних часто фарбуються і темніють гумки, що може порушувати зовнішню естетику.
Вибір системи залежить від діагнозу, бюджету, вимог до естетики та готовності до ретельного догляду. Лікар-ортодонт складає план після ретельної діагностики.









